
189 Fidlas Road, Cardiff CF14 5LZ
Get £1,000 Off Invisalign, a Free 3D Smile Simulation, Teeth Whitening, and Free Retainers with Invisalign!
Book Your Free Consultation


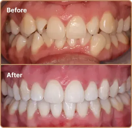
1000s Smiles Transformed
£1,000 Off Invisalign
Free 3D Smile Simulation, Whitening and Retainers with Invisalign.

Join the 1000s patients that have transformed their smiles with us at Cedars Dental!



LIFE IS TOO SHORT NOT TO SMILE
Step 1
Consultation
We'll create a bespoke smile design for you and show you how your teeth with look before & after treatment.
Step 2
Clincheck
We'll send you your full 3D smile simulation and treatment plan for your approval.
Step 3
Fitting
In your first appointment, we'll apply your Invisalign attachments and fit your aligners.

Invisalign Lite
6-9 Months
Includes:
Up to 14 aligners
Upper & lower arches
Free 3D Simulation, Whitening & Retainers
£3,250

Moderate
9-12 Months
Includes:
15-20 aligners
Upper & lower arches
Free 3D Simulation, Whitening & Retainers
£3,500

Comprehensive
12-24 Months
Includes:
21+ aligners
Upper & lower arches
Free 3D Simulation, Whitening & Retainers
£3,750